Un 27enne nascondeva la droga nelle parti intime

La Polizia di Stato ha arrestato un 27enne tarantino perché ritenuto presunto responsabile del reato di detenzione ai fini di spaccio di sostanza stupefacenti.
L’impegno costante dei Falchi della Squadra Mobile nel contrasto alla vendita di sostanze stupefacenti, ha permesso di raccogliere indizi tali da ritenere che un giovane, noto pregiudicato, detenuto nel locale carcere per una precedente condanna, aveva avviato una proficua attività di spaccio all’interno della casa circondariale di Taranto.
Dall’attività investigativa, infatti, sembra che l’uomo approfittasse dei permessi premio che gli venivano concessi ogni 40 giorni per approvvigionarsi di sostanza stupefacente del tipo hashish e cocaina per poi “smerciarla” all’interno del penitenziario una volta rientrato.
L’uomo, per poter sfuggire agli abituali controlli cui vengono sottoposti i detenuti tutte le volte che fanno rientro nel carcere, occultava la sostanza stupefacente all’interno del canale anale.
Al fine di dare riscontro ai propri sospetti, gli investigatori hanno atteso che il 27enne facesse rientro in carcere dal suo ultimo permesso premio per procedere ad un controllo, notiziando contestualmente dell’attività in corso il personale all’interno del penitenziario.
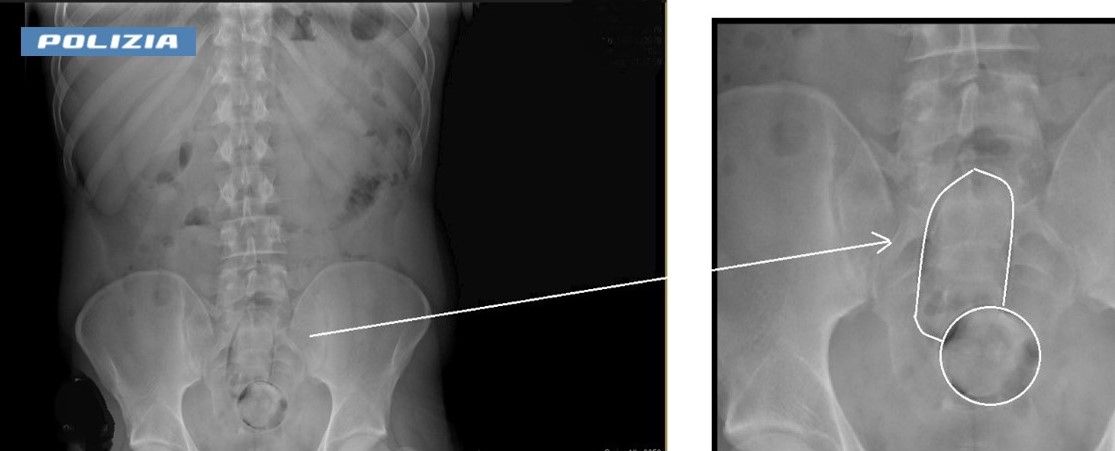
Dopo un’ispezione personale e dei bagagli con esito negativo, gli agenti hanno condotto il giovane presso l’ospedale Santissima Annunziata, ove è stato sottoposto ad accertamenti più specifici.
Dall’esame radiologico è emerso che nell’addome del sospettato vi erano due corpi estranei, risultati essere due palloncini contenenti rispettivamente 50 e 100 grammi di hashish.
Trasmessi gli atti all’autorità giudiziaria competente, l’uomo è stato arrestato e ricondotto all’interno della casa circondariale Carmelo Magli di Taranto.


Condividi